¿Buscas una clínica dental para colocarte implantes dentales subperiósticos en Donostia pero antes quieres saber qué son, para qué sirven y cuáles son los beneficios de este tratamiento? ¿Necesitas implantes dentales pero en tu clínica dental te han dicho que no tienes suficiente hueso?
Entonces este artículo es para ti.
Si estás buscando una solución efectiva para reemplazar dientes perdidos o estabilizar prótesis dentales en Donostia, es posible que hayas oído hablar de los implantes subperiósticos.
Estos implantes son una alternativa viable a los implantes dentales convencionales en pacientes que no tienen suficiente hueso disponible para soportarlos.
En este artículo, vamos a explorar en detalle qué son los implantes subperiósticos y cómo se utilizan en la cirugía maxilofacial y dental.
También discutiremos los beneficios y las limitaciones de este tipo de implante, así como las razones por las que puede ser una opción adecuada para pacientes en Donostia que buscan una solución de reemplazo dental o prótesis dental.
Sigue leyendo para descubrir todo lo que necesitas saber sobre los implantes dentales subperiósticos en Donostia y cómo pueden ayudarte a recuperar tu sonrisa.
¿Qué son y para qué sirven los implantes dentales subperiósticos?
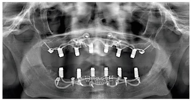
Los implantes subperiósticos o yuxtaóseos son dispositivos médicos utilizados en cirugía maxilofacial y dental para reemplazar dientes perdidos o para estabilizar prótesis dentales.
Estos implantes dentales se colocan debajo del tejido óseo que recubre la mandíbula o el maxilar superior, conocido como periostio, y proporcionan una base sólida y estable para la fijación de los dientes artificiales.
A diferencia de los implantes dentales convencionales que se insertan directamente en el hueso, los implantes subperiósticos se colocan debajo del periostio para aprovechar la mayor cantidad posible de superficie ósea disponible y proporcionar una mayor estabilidad.

Estos implantes son muy útiles para pacientes que no tienen suficiente hueso disponible para soportar los implantes dentales convencionales.
En general, los implantes subperiósticos son una opción viable para pacientes que requieren una solución de reemplazo dental o prótesis dental y que no son candidatos para otros tipos de implantes debido a una cantidad insuficiente de hueso o un riesgo de rechazo.
¿Qué pacientes son los indicados para este tipo de implante dental?
Los pacientes que pueden beneficiarse de los implantes subperiósticos son aquellos que tienen una cantidad insuficiente de hueso para soportar los implantes dentales convencionales o tienen un mayor riesgo de rechazo de los mismos.
Pacientes con poco hueso
Los implantes subperiósticos suelen ser una opción muy válida para pacientes que no tienen suficiente hueso disponible para soportar los implantes dentales convencionales, pues al haber poca masa ósea, los implantes no se sujetan con la firmeza necesaria.
Esto puede ser el resultado de una pérdida ósea significativa en el maxilar superior o inferior debido a enfermedades periodontales, traumatismos o extracciones dentales.

Otra categoría de pacientes que pueden ser candidatos para los implantes subperiósticos son aquellos que necesitan una restauración dental completa y no tienen suficiente hueso disponible en la mandíbula o el maxilar superior para soportar múltiples implantes dentales convencionales.
En estos casos, los implantes subperiósticos pueden proporcionar una base sólida y estable para fijar una prótesis dental completa.
Pacientes con riesgo de rechazo
Los pacientes que tienen un mayor riesgo de rechazo de los implantes dentales convencionales también pueden ser candidatos para los implantes subperiósticos.

Por ejemplo, los pacientes que tienen una condición médica que afecta su capacidad para sanar adecuadamente, como la diabetes o la osteoporosis, pueden tener un mayor riesgo de rechazo de los implantes dentales convencionales.
Los implantes subperiósticos pueden ser una alternativa viable para estos pacientes.
En Benta Berri sabemos que cada caso es único y debe ser evaluado por un profesional de la salud dental para determinar si los implantes subperiósticos son una opción adecuada.
¿Cuáles son los pasos para la colocación de implantes dentales subperiósticos en Donostia?
El tratamiento con implantes subperiósticos o yuxtaóseos generalmente implica varias fases que pueden variar según las necesidades individuales del paciente. A continuación, se describen las fases generales del tratamiento con implantes subperiósticos:
1. Evaluación inicial
En esta fase, el dentista o cirujano maxilofacial evaluará la salud dental y ósea del paciente mediante radiografías y tomografías computarizadas.

También se discutirán los objetivos del tratamiento y se determinará si los implantes subperiósticos son la mejor opción para el paciente.
2. Preparación para la colocación del implante y colocación
En la siguiente fase, se realizará una incisión en la encía para acceder al hueso debajo del periostio.

Luego se limpiará y preparará el lugar de colocación del implante subperióstico.
Una vez preparado el lugar de colocación del implante dental, se colocará el implante subperióstico debajo del periostio y se asegurará con tornillos especiales.
4. Curación
Después de la colocación del implante subperióstico, se requerirá un período de curación de varios meses para permitir que el hueso crezca alrededor del implante y se integre completamente.

Cuando el implante subperióstico esté osteointegrado, se podrá proceder a la colocación de la prótesis personalizada.
5. Colocación de la prótesis dental
Con el implante dental totalmente curado, se tomarán impresiones y se fabricará una prótesis dental personalizada para colocar sobre los implantes subperiósticos.

La prótesis dental puede ser una corona individual, un puente fijo o una prótesis dental completa.
6. Seguimiento
Tras haber colocado la prótesis dental, el paciente debe asistir a controles regulares con su dentista para garantizar la salud y la funcionalidad a largo plazo de los implantes subperiósticos.

Los tiempos y detalles específicos pueden variar según las necesidades individuales del paciente. Recuerda que las fases del tratamiento pueden variar según las necesidades personales del paciente.
Beneficios y limitaciones del tratamiento con implantes dentales subperiósticos
Los implantes subperiósticos tienen varios beneficios y limitaciones que es importante tener en cuenta al considerar esta opción de tratamiento dental.
Te dejamos los principales beneficios y limitaciones de este tipo de implante dental:
Beneficios
Requieren menos hueso
Los implantes subperiósticos son una buena opción para pacientes que no tienen suficiente hueso disponible para soportar implantes dentales convencionales.
Menos invasivos
La colocación de implantes subperiósticos es menos invasiva que la colocación de implantes dentales convencionales, lo que puede reducir el tiempo de curación y molestias postoperatorias.
Mayor estabilidad
Los implantes subperiósticos ofrecen una base más estable y sólida para las prótesis dentales que los implantes dentales convencionales.
Tratamiento más corto
Debido a que los implantes subperiósticos pueden colocarse en una sola cirugía, el tiempo de tratamiento puede ser más corto que con los implantes dentales convencionales.
Limitaciones
Mayor riesgo de infección
Debido a que los implantes subperiósticos se colocan debajo del periostio, existe un mayor riesgo de infección durante el proceso de curación.
Curación más lenta
La curación después de la colocación de implantes subperiósticos puede ser más lenta que con los implantes dentales convencionales debido a que el hueso debe crecer alrededor del implante.
Un poco más caros
Los implantes subperiósticos pueden ser más costosos que los implantes dentales convencionales debido a la complejidad de la técnica y el equipo necesario para realizar el procedimiento.
Menor tasa de éxito
La tasa de éxito de los implantes subperiósticos puede ser menor que la de los implantes dentales convencionales, especialmente en pacientes con enfermedades sistémicas o condiciones médicas que pueden afectar la capacidad del cuerpo para sanar.
Es muy importante comentar con tu dentista las opciones de tratamiento y sopesar los beneficios y limitaciones personales para determinar la mejor opción para tus necesidades.
Preguntas frecuentes sobre los implantes dentales subperiósticos
Hemos recopilado las preguntas más frecuentes que nos han hecho nuestros pacientes sobre los implantes subperiósticos para que no te quedes con ninguna duda antes de realizar el tratamiento:
¿Cómo sé si soy un buen candidato para los implantes dentales subperiósticos?
Los pacientes que no tienen suficiente hueso disponible para soportar implantes dentales convencionales o que han experimentado una reabsorción ósea significativa pueden ser buenos candidatos para los implantes subperiósticos.

La mejor manera de saber si eres un buen candidato es hablar con un profesional de la salud dental experimentado que pueda evaluar tu salud dental y ósea y determinar si los implantes subperiósticos son la mejor opción de tratamiento.
¿Cuánto tiempo dura el proceso de colocación de implantes dentales subperiósticos?
El proceso de colocación de implantes dentales subperiósticos puede variar según las necesidades individuales del paciente.
En general, el proceso de colocación de los implantes dentales subperiósticos se realiza en una sola cirugía, pero se requerirá un período de curación de varios meses antes de colocar la prótesis dental personalizada.

El tiempo total del tratamiento depende de la cantidad de implantes que se colocan y del tiempo que se necesite para que los implantes se integren con el hueso. En general, el proceso puede tardar entre 4 y 6 meses.
¿Es doloroso el proceso de colocación de los implantes subperiósticos?
La colocación de implantes subperiósticos es un procedimiento quirúrgico, por lo que es posible que sientas alguna molestia durante el procedimiento y en el período postoperatorio.

Sin embargo, se puede utilizar anestesia y sedación consciente para ayudar a minimizar la incomodidad y los analgésicos pueden ayudar a aliviar el dolor después del procedimiento.
¿Cómo se cuidan los implantes subperiósticos después de la colocación?
Los implantes subperiósticos deben cuidarse de la misma manera que los dientes naturales.
Esto incluye cepillarse dos veces al día, usar hilo dental diariamente y asistir a controles regulares con un profesional de la salud dental para asegurar la salud y la funcionalidad a largo plazo de los implantes subperiósticos.

También es importante evitar alimentos duros o pegajosos que puedan dañar la prótesis dental.
Pide cita para tu tratamiento con implantes dentales subperiósticos en Donostia
En este artículo hemos hablado de qué son los implantes dentales subperiósticos, para qué sirven y cuáles son los beneficios de este tratamiento.
Además te hemos dejado las preguntas que más nos han hecho nuestros pacientes para que tengas toda la información posible antes de realizar el tratamiento.
Recuerda que en nuestra clínica dental Benta Berri somos expertos en tratamientos de implantología y podemos asesorarte y tratarte para encontrar la mejor solución a tu caso concreto.
Esperamos que este artículo te haya aclarado dudas sobre este tipo de implante dental tan característico, pero si necesitas más información sobre este tipo de implantes dentales, estaremos encantados de poder ayudarte.